Have Any Question?
01010338906
Email
info@smileart-center.com
Home
Home
About Us
About Us
services
services
Media
Media
gallery
Before & After
videos
videos
Contact Us
Contact Us
العربية
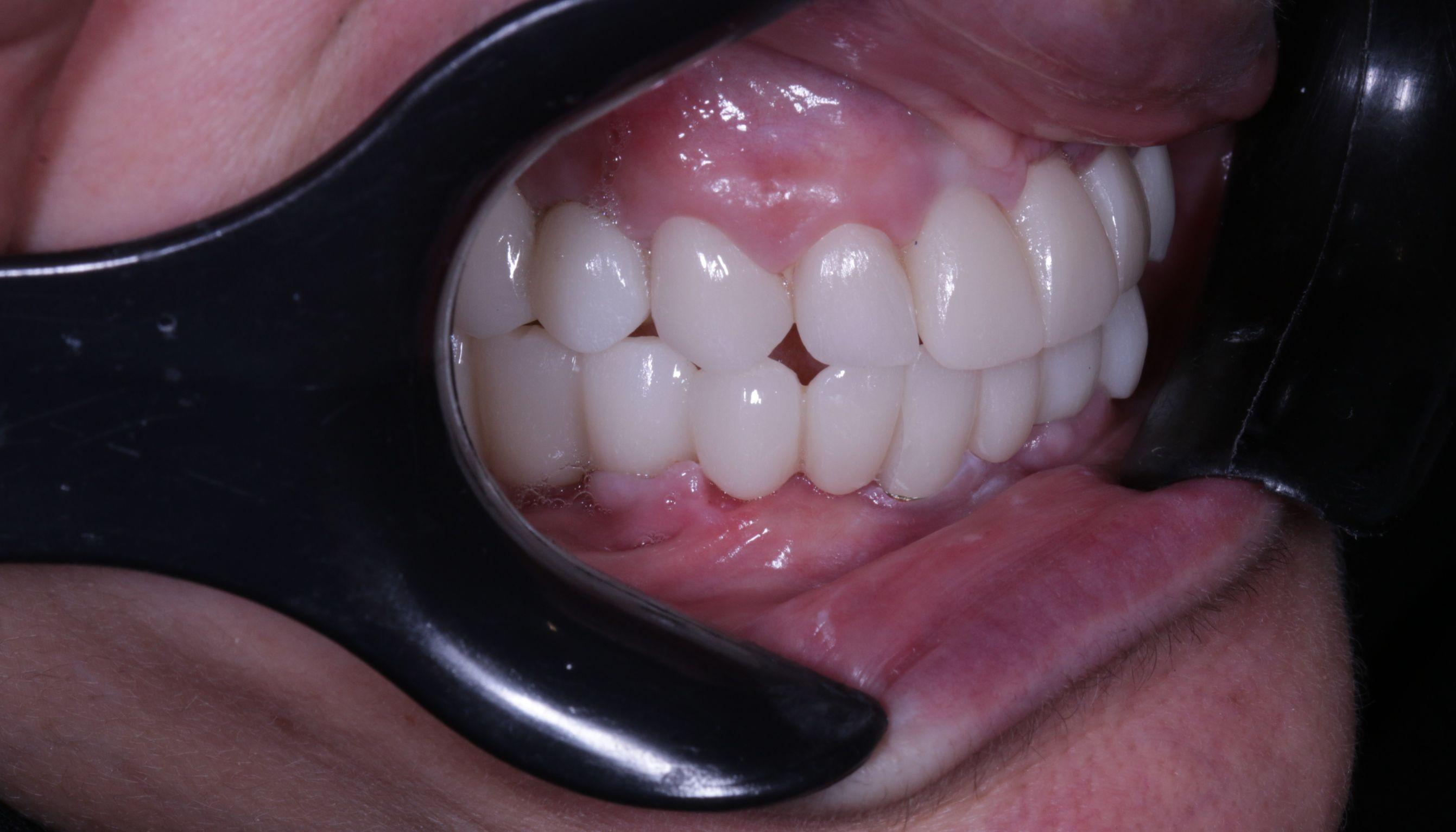
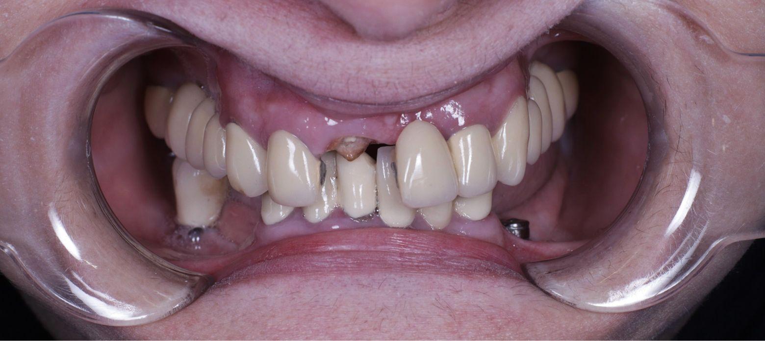
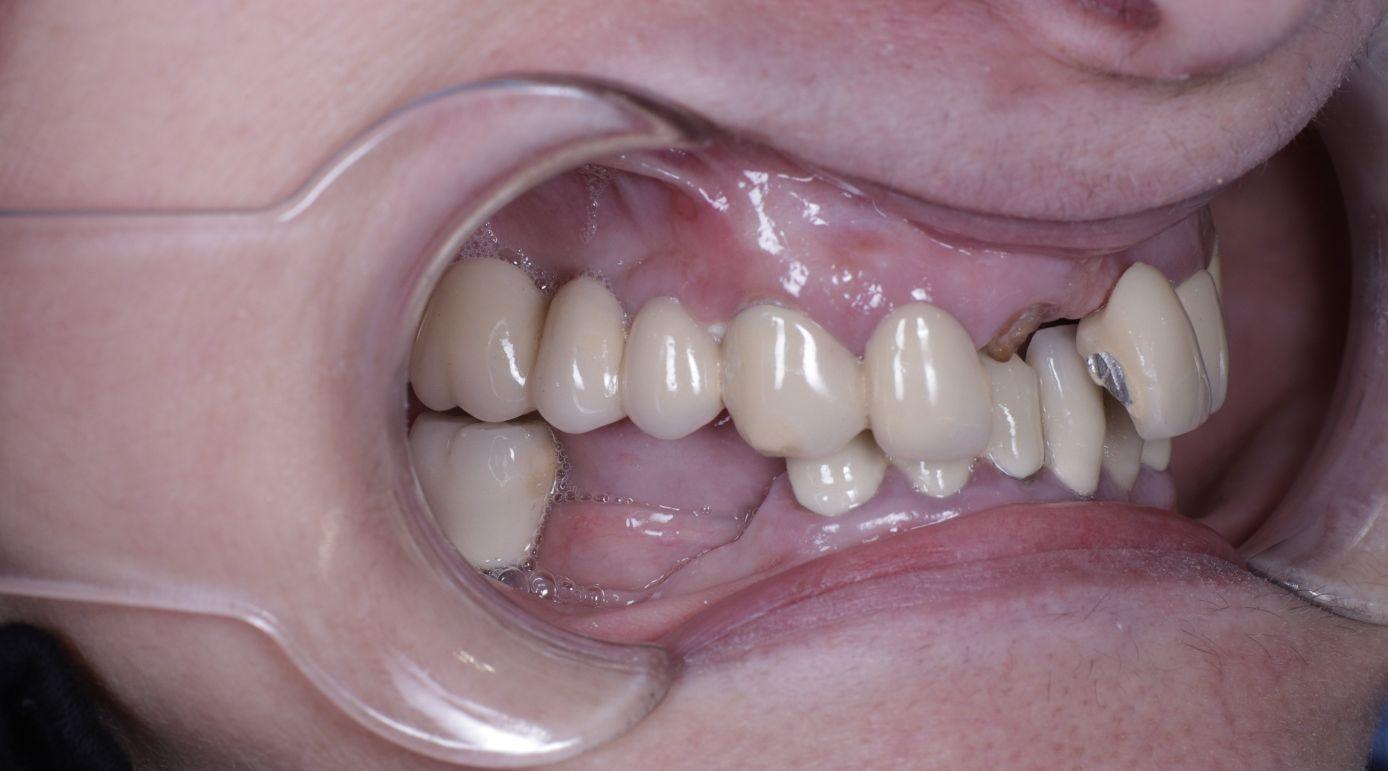
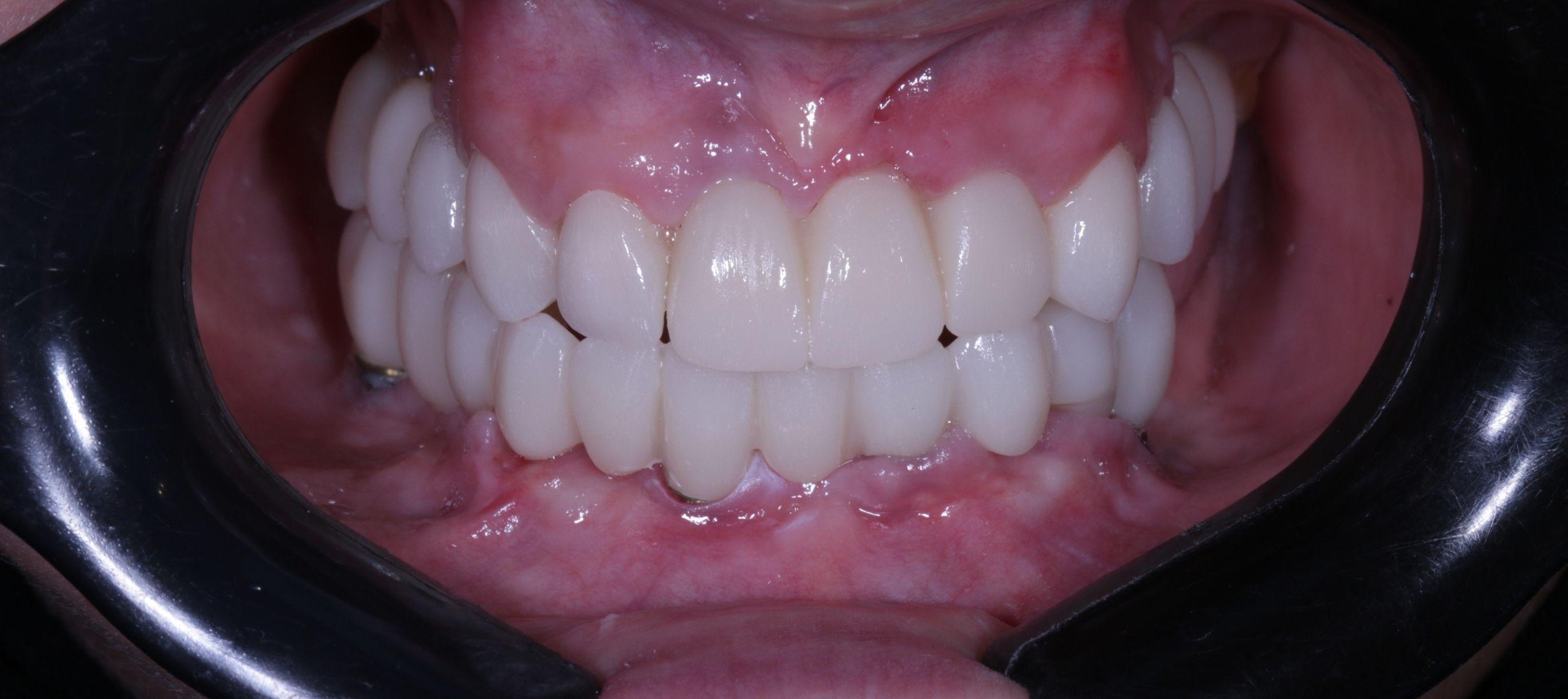
Dental implants
Home
Dental implants
Home
About Us
services
Media
videos
Contact Us
Need help?
Call Us Now:
01010338906
Support 24/7:
info@smileart-center.com
Follow Us::